胃结石的2个病例

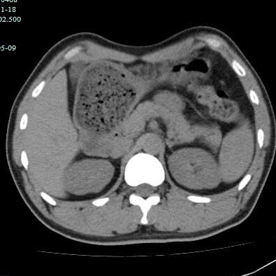
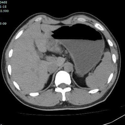
最近有几个吃山楂后形成胃结石的病历,第一个,老年女性,突发腹痛2天,持续性钝痛,阵发性加重,伴恶心,呕吐胃内容物,性状无异常,呕吐后无缓解,入院后抑酸治疗效果不理想,CT如下图。

考虑胃内结石,予以碳酸氢钠和可乐口服,第二天症状缓解,因为有别的问题,没有胃镜证实。

因为非影像专业,自己总结肠道植物性结石的特点,混杂密度,多数边缘规则,与正常胃、肠壁结构分界清晰,临床考虑多数急性起病,关键是要问近期是否有大量食用柿子、山楂、黑枣等富含鞣酸食物。

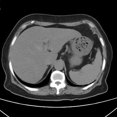
第二个病例,青年男性,也是突然腹痛,症状和第一个类似,首选腹部CT。

胃镜证实

同样治疗后痊愈出院


胃结石普遍以下特点:突然起病,以上腹痛及恶心、呕吐物为主要表现,胃镜是“金指标”,CT需结合临床

肠结石多数发病时间略长,腹痛更明显,符合肠梗阻的表现:痛胀吐闭,CT结合临床相对准确,原则是以通便为主,石蜡油效果比较好,我们科近年收治10多例肠道内结石患者均保守治疗成功,目前经验保守治疗多数3日内缓解

上一篇固有耐药性
下一篇胃功能三项的意义与解读

评论 4

  • loveatj
    2025-12-10 20:50 来自 中国河北省石家庄市

    托尔斯泰

  • loveatj
    2026-01-09 20:59 来自 中国河北省石家庄市

    马尔济

  • loveatj
    2026-01-09 20:59 来自 中国河北省石家庄市

    > 托尔斯泰

    高尔基

  • loveatj
    2026-01-09 20:59 来自 中国河北省石家庄市

    > > 托尔斯泰

    高尔基

    列夫托尔斯泰

页面二维码